A professora Gisele Barboza descobriu a doença em 2016. Ela começou a sentir um incômodo no olho direito, o olho coçava muito, e estava com uma irritação. De início, parecia alergia. Ela até suspendeu o uso de cosméticos para área dos olhos.
Como a irritação não passava, resolveu ir no oftalmologista, pra consultar aquela suposta "alergia". Então o profissional diagnosticou que não se tratava de alergia, mas sim de um tumor, sem dar muitas especificações.
De início, Gisele, foi se consultar com um oncologista, mas este médico, após examiná-la, constatou que se trata de um tumor raro, e que ele não teria capacidade de realizar a cirurgia, e que ninguém da região estaria apto a resolver. Afirmou que a cirurgia podia ser feita somente em centro médico grande, com equipamentos de última geração, e até devolveu o dinheiro da consulta.
No entanto, mesmo sabendo do diagnóstico, como ela tinha o sonho de se tornar mãe, resolveu engravidar antes de passar pela cirurgia. Porém, durante a gestação, o tumor continuava crescendo, e empurrando o olho para fora. Até que um certo dia, no final da gestação, o tumor empurrou o olho de tal modo que acabou comprimindo o nervo óptico, lhe causando a cegueira do olho direito.
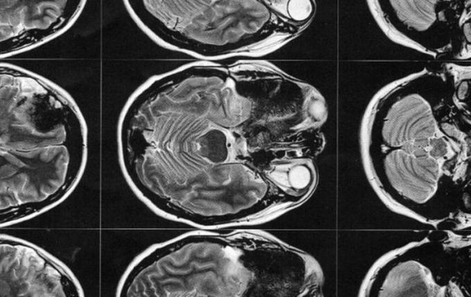
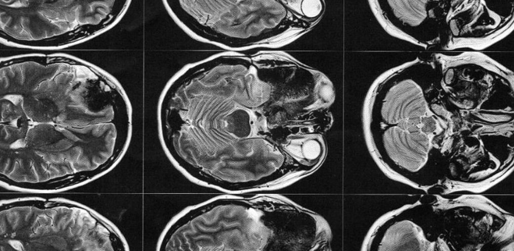
1 ano e 7 meses após o nascimento da Manuela (hoje com quase 4 anos), mais precisamente em dezembro de 2018, Gisele foi em busca de um neurocirurgião que estivesse apto a realizar a cirurgia. Optou-se por um médico da região, pela facilidade de locomoção. Por sua vez, por meio de exames de imagem, este médico a diagnosticou com um meningioma intraósseo (tumor cerebral benigno que se origina nas células das meninges).
Em fevereiro de 2019 passou pela primeira cirurgia de retirada do meningioma. Tudo correu bem, sem sequelas. No entanto, teve uma parte do osso (medindo 7,5 x 6 x 2 cm) em sua cabeça que teve que ser retirado e não pôde ser colocado novamente, pois o tumor estava enraizado naquela região, e eram grandes as chances de reincidência. Após a cirurgia, foi enviado para análise a amostra do tumor, que confirmou, de fato, se tratar de um tumor benigno.
Em seguida, o neurocirurgião solicitou que após um ano Gisele retornasse para fazer nova cirurgia para implantar uma prótese na parte óssea que foi retirada. Porém não foi feito o retorno, pois no ano de 2020 teve início a pandemia do Coronavírus no Brasil. Também não foi realizado o acompanhamento médico periódico, por pensar que estaria tudo bem.
Até que em dezembro de 2021 resolveu procurar outro profissional para avaliar a situação, pois o olho ainda estava saltado, e ela sentia muito incômodo, como coceira e lacrimejamento.
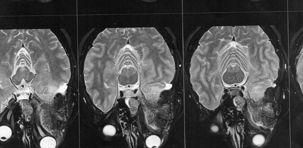
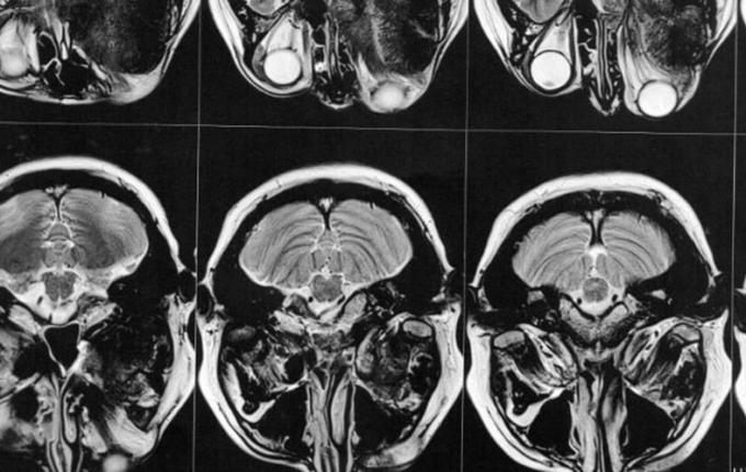
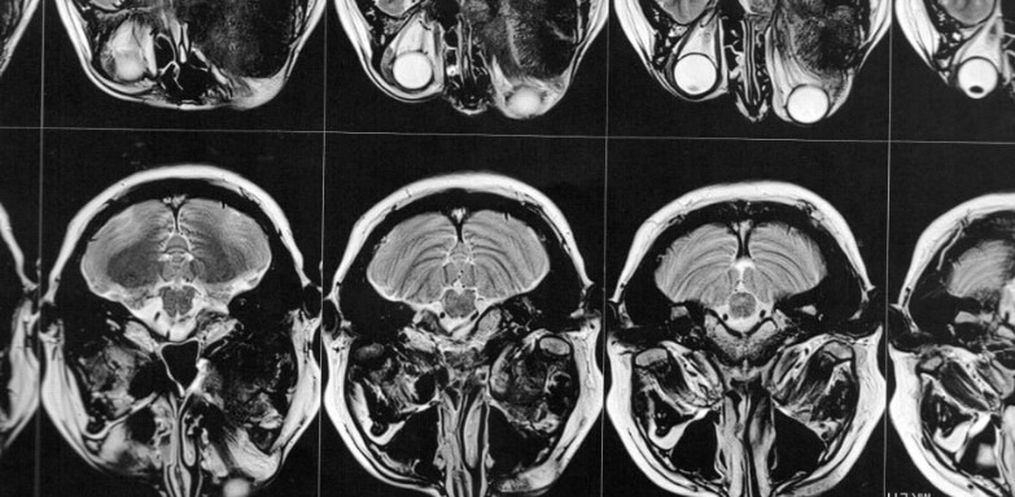
Então este médico solicitou exames de imagem (ressonância magnética e tomografia) para avaliar a situação, os quais foi constatado que o meningioma ainda está ali, e que continua empurrando o olho e se expandindo para outras áreas. Trata-se de um meningioma gigante (medindo 6 x 6,6 x 6 cm), que está localizado na placa do assoalho da fossa média e anterior.
Este outro profissional também disse que se tratava de um caso raro, e que ele não conseguiria resolver, afirmando que só existia um médico no Brasil que seria capaz de realizar a cirurgia dela com êxito. Então a encaminhou para o Dr. Feres Chaddad, referência nacional e internacional no campo da microcirurgia neurológica. Seu consultório fica em São Paulo/SP – a mais de 900 km de distância de Campo Erê/SC.
A cirurgia deverá ser feita de urgência, pois o meningioma continua se expandindo, e pode comprimir o olho esquerdo afetando a visão que lhe resta. Também pode comprimir outras partes do cérebro, ou pior ainda, causar a morte.
O médico também disse que será necessário realizar dois procedimentos cirúrgicos, um para retirada do tumor, e o segundo para realocar o olho para seu lugar e implantar a prótese onde o osso foi retirado.
Gisele possui plano de saúde, o qual cobre os gastos com internação, por outro lado, o pagamento da equipe médica (4 profissionais de confiança, mais o Dr. Feres) deverá ser feito no particular, além de demais despesas extras, como locomoção.
Por esse motivo a família está pedindo ajuda da comunidade para arrecadar dinheiro para que Gisele possa realizar o procedimento. Para ajudar na arrecadação, está sendo feita uma ação entre amigos que contém 22 prêmios.
Também foi criado uma vakinha, que pode ser acessada no seguinte link: http://vaka.me/2757717
Além disso, temos a opção de doações diretamente por depósitos bancários:
Banco Bancoob: 756
Agência/Cooperativa: 3069
Conta Corrente: 327.250-8
Ou também as doações poderão ser feitas por PIX:
Chave: giselebarboza@gmail.com
Instituição: CCLA MAXI ALFA
Ou
Chave: rafaela.barboza@gmail.com
Instituição: CCLA MAXI ALFA
A família agradece a cada pessoa que tem ajudado, seja os doadores dos prêmios da ação entre amigos, os que estão comprando números, os que estão ajudando vender números, os que compartilham e divulgam.
Pedem ainda muita oração e muita energia positiva, para que Deus guie a mão deste médico, e que faça tudo se concretizar da melhor maneira possível.
Ainda não tem a data da cirurgia, mas assim que for marcada a família vai informar.
Fonte: Portal Peperi
Dois lobos-guará morrem em menos de sete dias em Santa Catarina
São Miguel lidera geração de empregos no Oeste com 382 vagas abertas pelo Sine
Período de inscrições para concurso da Educação de SC termina nesta terça-feira
Câmara de SMO debate em audiência pública déficit habitacional e encaminha grupo para buscar soluções
PF mira esquema de cigarros eletrônicos e celulares contrabandeados em Chapecó
Aeroporto de SMO já tem data para retomada de voos
Idoso confunde pedais e bate carro em loja no centro de SMO
Saída de pista deixa motorista ferida na SC-492 entre SMO e Bandeirante
Três cidades concentram 25% dos acidentes de trabalho registrados em SC
Procura por concursos segue alta na região da Ameosc
Preço do diesel em SC cai pela segunda semana após disparada causada por guerra
Ordem de execução é assinada para pavimentação asfáltica da marginal da BR-163 em SMO